Coronavirus pandemic: 60 Minutes reports
Inside Florida's chaotic vaccine rollout
Sharyn Alfonsi reports on corruption allegations clouding Florida's efforts to vaccinate its residents.
Watch CBSN Live
Sharyn Alfonsi reports on corruption allegations clouding Florida's efforts to vaccinate its residents.
A lack of transparency from Chinese officials and looming geopolitical consequences have damaged the credibility of a WHO-led inquiry into how the virus that causes COVID-19 originated. Lesley Stahl reports.
Schools in Marietta, Georgia, have stayed open through some of their community's highest periods of coronavirus infection. John Dickerson reports on how the CDC studied coronavirus transmission within the city's schools.
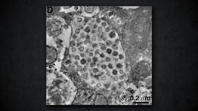
New, mutated strains of the coronavirus are causing worry around the world as health officials race to vaccinate as many people as possible. Dr. Jon LaPook reports on why the new strains are popping up.
While many middle and high-income workers are back at work, the country's low-wage workers are still suffering from a recession that has annihilated their jobs. Scott Pelley reports.
Pahokee native and Super Bowl Champion Anquan Boldin helped secure a vaccine site for his community in the Florida Glades, where many had struggled to access the vaccine for months.
Last March, an interview with Dr. Anthony Fauci was nearly canceled by the Trump administration and hospitals were afraid to be associated with the pandemic.
In May 2020, 60 Minutes reported on a study researching the use of high-antibody blood plasma to help treat hospitalized COVID-19 patients. Newly published results show hope for the therapy.
Young teenagers and kids from low-income households told 60 Minutes they struggled with virtual learning, and some saw their grades drop.
60 Minutes reports on a 40-year-old OCD pill that may prevent severe symptoms in Covid patients.
Five over-the-counter COVID-19 tests have been authorized by the Food and Drug Administration.
In his new book, Michael Lewis profiles people who tried to sound the alarm about COVID-19 as officials failed to act. John Dickerson reports.
Less than one-third of Louisiana's population has received a first dose of a COVID-19 vaccine.
Bill Whitaker reports on the Pentagon projects that helped combat COVID-19 and may help end pandemics forever.
Sharyn Alfonsi reports on corruption allegations clouding Florida's efforts to vaccinate its residents.
Pahokee native and Super Bowl Champion Anquan Boldin helped secure a vaccine site for his community in the Florida Glades, where many had struggled to access the vaccine for months.
A lack of transparency from Chinese officials and looming geopolitical consequences have damaged the credibility of a WHO-led inquiry into how the virus that causes COVID-19 originated. Lesley Stahl reports.
In just one year, all the awkward, little inhumanities of pandemic life have changed how we live.
Schools in Marietta, Georgia, have stayed open through some of their community's highest periods of coronavirus infection. John Dickerson reports on how the CDC studied coronavirus transmission within the city's schools.
New, mutated strains of the coronavirus are causing worry around the world as health officials race to vaccinate as many people as possible. Dr. Jon LaPook reports on why the new strains are popping up.
In his new book, Michael Lewis profiles people who tried to sound the alarm about COVID-19 as officials failed to act. John Dickerson reports.
Seventy-five percent of semiconductors, or microchips — the tiny operating brains in just about every modern device — are manufactured in Asia. Lesley Stahl talks with leading-edge chip manufacturers, TSMC and Intel, about the global chip shortage and the future of the industry.
Norah O'Donnell speaks with Secretary Blinken in a wide-ranging interview that touches on China's recent military aggression, winding down the long war in Afghanistan and the immigration crisis at the U.S.-Mexico border.
Scott Pelley speaks with Minnesota Attorney General Keith Ellison and the prosecutorial team that convicted Derek Chauvin for the murder of George Floyd.
Jon Wertheim reports on how New York's performing artists are returning to the stage with the help of organizations like NY PopsUp.
People are dying in line waiting to refill their own oxygen tanks amid crippling medical supply shortages, and many Indians blame their own leaders.
Given the lack of vaccine access nationwide, many considered the tourist attraction to be a "waste" of stimulus funding.
A U.S. envoy was among those visiting the region this week, hoping to negotiate a political solution. But there are obstacles, including the U.S. standoff with Iran.
For the world's largest jewelry maker, diamonds made in a laboratory are forever.
Its fast speed makes its landing place nearly impossible to predict, but it is expected to make landfall in the coming days.
Opponents argue that the bill disproportionately affects Democratic voters.
Drugmaker said Phase 2 trial of its coronavirus vaccine showed promising results in teens 12- to 17-years-old.
"Our belief is that Suzanne is not alive at this time," Chaffee County Sheriff John Spezze said.
The internal feud over replacing Cheney as conference chair intensified with Trump's support for Stefanik.
The number of people banned since airlines started requiring masks in the last year is likely higher, as two major carriers do not release that information.
Opponents argue that the bill disproportionately affects Democratic voters.
The internal feud over replacing Cheney as conference chair intensified with Trump's support for Stefanik.
Several states controlled by Republicans have pushed for big changes in voting and election laws in recent months.
Mr. Biden will speak in Lake Charles, Louisiana, near the Calcasieu River Bridge and then tour the Carrollton Water Plant in New Orleans.
More than a dozen CIA officers serving overseas have returned to the U.S. in 2021 after reporting symptoms consistent with the mysterious illness.
Comedian and social media sensation Ziwe discusses her new late-night Showtime series, "Ziwe." It's a no-holds-barred mix of musical numbers, interviews, and sketches that challenge America's discomfort with race, politics, and other cultural issues. She joins "CBS This Morning" live after telling co-host Anthony Mason about making uncomfortable issues like race funny and why she doesn't subscribe to cancel culture.
Looking for something fresh to watch? Here are the top films available on the streaming platform.
Tickets will go on sale Thursday for Broadway shows this fall.
Shows, movies and documentaries you'll want to stream soon.
The story of the father-son duo will be told "through a mother's eyes."
Indefinitely suspending former president after the January 6 attack on the U.S. Capitol was "inappropriate," board finds.
The Starship launch and landing capped a remarkable three weeks for the California-based rocket builder.
Blue Origin auctioning a ticket to suborbital space, promising that a ride "will change how you see the world."
"What we have said is basically less about Mr. Trump, and more about Facebook and the rights of users," co-chair Helle Thorning-Schmidt told "CBS This Morning" co-host Tony Dokoupil.
Halley's Comet is expected to bring shooting stars to Earth this week.
Updated maps show how U.S. temperatures and rainfall patterns are shifting – and reveal some clues about the future.
Its fast speed makes its landing place nearly impossible to predict, but it is expected to make landfall in the coming days.
The White House is ramping up efforts to reach rural areas and communities where the pace of vaccinations has slowed.
"We're talking about trillions of cicadas that are gonna be emerging, singing, calling, finding mates in your backyard."
Retailer unveils incentive to get people immunized against COVID at CVS pharmacies inside 1,700-plus U.S. locations.
A new report from the Arthritis Foundation finds 100% of arthritis patients surveyed say they’ve experienced some form of pain over the past seven days. Dr. M. Elaine Husni, vice chair of rheumatology at the Cleveland Clinic and member of the Arthritis Foundation’s pain management expert panel, joined “CBSN AM” to discuss.
Drugmaker said Phase 2 trial of its coronavirus vaccine showed promising results in teens 12- to 17-years-old.
Millions of Americans are getting CDC-issued "vaccination record" cards. Here's what to do with them.
People are dying in line waiting to refill their own oxygen tanks amid crippling medical supply shortages, and many Indians blame their own leaders.
Moderna's results are preliminary and involve the South African and Brazlian variants. Pfizer's are from real-world data out of Israel on the British variant.
Drugmaker said Phase 2 trial of its coronavirus vaccine showed promising results in teens 12- to 17-years-old.
Connecticut and New Jersey are offering free drinks, while some businesses give out sweet treats to people who got their shot.
Roughly 498,000 people filed initial jobless claims last week, the lowest level since March 14, 2020.
Moderna's results are preliminary and involve the South African and Brazlian variants. Pfizer's are from real-world data out of Israel on the British variant.
Just $8 billion remains in the program, earmarked for companies headed by women or minorities.
"Our belief is that Suzanne is not alive at this time," Chaffee County Sheriff John Spezze said.
The Atlanta Civil Service Board reversed the firing on Wednesday, ruling that Garrett Rolfe was "not afforded his right to due process."
There was a gasp in the Rome courtroom as the presiding judge read the verdict.
The filing comes just weeks after a jury convicted Chauvin of unintentional second-degree murder, third-degree murder and second-degree manslaughter.
The CIA said the suspect did not breach the compound.
The Starship launch and landing capped a remarkable three weeks for the California-based rocket builder.
Its fast speed makes its landing place nearly impossible to predict, but it is expected to make landfall in the coming days.
A huge piece of space junk is about to make an uncontrolled re-entry back into Earth's atmosphere, threatening to drop debris on a number of cities around the world in the coming days. CBS News space consultant Bill Harwood joins CBSN's Tanya Rivero for a closer look.
Halley's Comet is expected to bring shooting stars to Earth this week.
Debris from the famous Halley's Comet will light up the sky this week. Experts say people may be able to see a meteor shower at some point between Tuesday and Thursday. CBS Los Angeles has the details.
Looking for something fresh to watch? Here are the top films available on the streaming platform.
Peterson's death sentence for the murder of his pregnant wife Laci has been overturned. Now his supporters are pushing for a complete retrial.
Shows, movies and documentaries you'll want to stream soon.
These reviews go from bad to just plain awful.
Some things are different, others are shockingly similar.
The CDC has predicted an increase in COVID-19 infections this month, followed by a sharp drop in July. This all depends upon high vaccination rates and continued following of health and safety guidelines. Internal medicine physician Dr. Stella Safo joined CBSN to discuss the most recent coronavirus research.
CBS News' Nichelle Medina reports on a truck driver shortage that threatens to impact deliveries, including gasoline.
Prime Minister Benjamin Netanyahu has again failed to form a government after four elections in the last two years -- and is facing trial on corruption charges. Newsday columnist and author of "Spies Against Armageddon: Inside Israel's Secret Wars" Dan Raviv joins CBSN to discuss the opportunity for top opposition leader and former TV anchor Yair Lapid to create his own power-sharing plan.
This CBSN Originals Documentary in the "Speaking Frankly" series examines when diversity measures can be helpful or harmful.
President Biden is siding with other world leaders to waive patents on coronavirus vaccines, a move that could help countries struggling with new waves of the virus. CBS News chief White House correspondent Nancy Cordes joined CBSN to discuss what comes next, and other news from the Biden administration.