Anti-vaccine activist livestreams himself shoving California lawmaker
Kenneth Austin Bennett livestreamed the confrontation with California state Senator Richard Pan on Facebook
Watch CBS News
Kenneth Austin Bennett livestreamed the confrontation with California state Senator Richard Pan on Facebook
Three migrant children have died in the past year from the flu
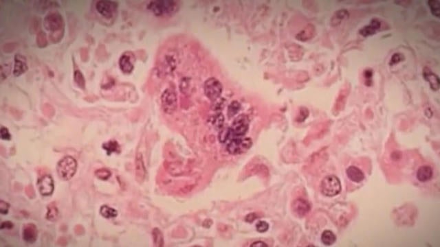
As measles continues to spread in the U.S., here are some indisputable facts about inoculation
El Al flight attendant Rotem Amitai was diagnosed with measles after flying from New York to Israel
No apparent link between latest death and previous case in Goma, which sparked a rare global health emergency declaration
It's the 1st time the deadly virus has reached Goma, home to more than 2 million, since epidemic began almost a year ago
It's not yet clear exactly how the virus works, or how to treat it
According to data from the World Health Organization, 41,000 measles cases were reported from January to June 2018 across 53 European countries
The new legislation requires all children attending school or daycare to receive vaccinations
This year, Deerkill Day Camp will only allow campers who have been vaccinated
Biel and Kennedy went to California's capital to lobby against a bill that would limit medical exemptions for vaccines
Study by George Washington University found trolls ramped up controversy by inflating different viewpoints
The tally is so high that measles could lose its status as an officially eliminated disease
Experts say employers concerned about the spread of measles should consult lawyers before issuing any orders
The measles virus has impacted at least four U.S. airports so far this year, with reported exposures in California, New Jersey and most recently Texas
The measure passed on a party-line 24-10 vote, with no Republican support
A measles outbreak in New York has taken place in Orthodox Jewish communities, where a pamphlet questioning vaccines has been circulating
For at least the last four years, what's come to be known as the "PEACH pamphlet" has been circulating in the Northeast, targeting orthodox Jewish communities
With hundreds of measles cases in the U.S., and approximately 110K global deaths from measles in 2017 (mostly children under five), public health experts are employing scientific facts as an antidote to vaccine misinformation
Jerome Kunkel's lawyer admitted he told his unvaccinated teenage clients their best bet was to contract the chickenpox
The CDC reports the number of measles cases in the U.S. has hit 695, making it the worst year for measles since 1994. Doctors and public officials are urging parents to get their children vaccinated. They're also battling the spread of misinformation on social media. Dr. James Hamblin, a staff writer for The Atlantic, joins CBSN AM to discuss.
Some adults who were vaccinated against the measles in the 1960s may only have partial immunity
Health officials say individuals with confirmed cases of measles may have exposed others at an "Avengers: Endgame" screening and a trampoline park
Earlier diagnosis could also mean earlier intervention
This is the highest number of cases since the disease was declared eliminated in the United States
The Florida Democrat stepped down shortly before a House Ethics Committee hearing to determine whether she should be punished.
It's unclear when or even if top Iranian officials will come to Pakistan for peace talks just a day before Trump's latest ultimatum expires.
Warsh, nominated by President Trump to replace Fed Chair Jerome Powell, also said he'll work with the White House on some matters.
The referendum is seeking to amend the state's constitution to use the Democratic-controlled Assembly's redrawn congressional maps, which will give Democrats an advantage in 10 of the state's 11 House districts.
The disappearances and deaths of 10 government workers tied to nuclear or space technology have sparked speculation online. President Trump said the cases are "hopefully, coincidence."
After KFF Health News reported that the Trump administration is seeking federal workers' medical records, Democratic lawmakers are insisting that the Office of Personnel Management drop its request.
The Justice Department is investigating the Southern Poverty Law Center in connection with a now-defunct program that used paid informants to infiltrate extremist groups.
The Russian mission included two supersonic Tu-22M3s, as well as about 10 fighters, the French detachment said.
Defense Secretary Pete Hegseth said U.S. service members will no longer be required to get annual flu shots.
Senate Republicans unveiled a budget resolution to begin the process of funding immigration agencies under DHS without help from Democrats.
"CBS Mornings" exclusively revealed Leon Smith, who teaches at Haverford High School in Pennsylvania, as the 2026 National Teacher of the Year.
Defense Secretary Pete Hegseth said U.S. service members will no longer be required to get annual flu shots.
The Justice Department is investigating the Southern Poverty Law Center in connection with a now-defunct program that used paid informants to infiltrate extremist groups.
Warsh, nominated by President Trump to replace Fed Chair Jerome Powell, also said he'll work with the White House on some matters.
Warsh, nominated by President Trump to replace Fed Chair Jerome Powell, also said he'll work with the White House on some matters.
President Trump is fighting to reshape the Federal Reserve by replacing Chair Jerome Powell with Kevin Warsh — but if the Senate doesn't confirm Warsh by next month, it's not clear who will run the nation's central bank.
The so-called bellwether case is part of a broader group of sexual assault lawsuits filed against Uber in multiple jurisdictions around the country and is the third to go to trial.
Apple CEO Tim Cook will step down in August and become executive chairman of Apple's board.
Senators are likely to press Warsh, President Trump's nominee to succeed Jerome Powell as Fed chair, on his views about inflation and interest rates.
The Florida Democrat stepped down shortly before a House Ethics Committee meeting to determine whether she should be punished.
Senate Republicans unveiled a budget resolution to begin the process of funding immigration agencies under DHS without help from Democrats.
Defense Secretary Pete Hegseth said U.S. service members will no longer be required to get annual flu shots.
The Justice Department is investigating the Southern Poverty Law Center in connection with a now-defunct program that used paid informants to infiltrate extremist groups.
Warsh, nominated by President Trump to replace Fed Chair Jerome Powell, also said he'll work with the White House on some matters.
Work requirements will encourage people who are able to work to seek and maintain jobs, proponents say. But researchers haven't found that they lower the unemployment rate.
Former Trump Surgeon General Dr. Jerome Adams described Dr. Erica Schwartz as a "home run pick."
The order will open the door for more research into psychedelic drugs, including ibogaine, sources told CBS News earlier this week.
Casey Gould wanted to be a mom her whole life. Her long-awaited pregnancy went smoothly — until she saw something alarming.
President Trump nominated a new director for the Centers for Disease Control and Prevention on Thursday. Dr. Erica Schwartz is a former deputy surgeon general and retired Coast Guard rear admiral.
Trump says British leader Keir Starmer has "time to recover" from the latest scandal over his decision to tap an Epstein associate as his U.S. ambassador.
President Trump recently encouraged the U.K. to "drill baby, drill" in the oil-rich North Sea.
The Russian mission included two supersonic Tu-22M3s, as well as about 10 fighters, the French detachment said.
Nearly 500 alleged MS-13 members, including several alleged leaders, are on trial collectively in El Salvador, accused of thousands of murders.
It's unclear when or even if top Iranian officials will come to Pakistan for peace talks just a day before Trump's latest ultimatum expires.
Singer D4vd appeared in court Monday, hours after prosecutors announced he would be charged with first-degree murder in the death of 14-year-old Celeste Rivas Hernandez. Matt Gutman reports.
Los Angeles prosecutors on Monday charged singer D4vd in the murder of a 14-year-old girl whose dismembered body was found in his car last year. CBS News chief correspondent Matt Gutman has the details.
"Matlock" stars Skye P. Marshall and Jason Ritter join CBS News with more clues ahead of the show's season finale.
Emily Saliers, one-half of the Atlanta folk duo The Indigo Girls, has revealed that she has been diagnosed with two incurable movement disorders that will forever change the way that she sings.
The Los Angeles County District Attorney's Office is expected on Monday to charge singer-songwriter D4vd with murder, seven months after 14-year-old Celeste Rivas' body was found in a car that he owned. The 21-year-old musician was arrested last week. Matt Gutman reports.
Tim Cook announced he's stepping down as Apple CEO after nearly 15 years. Anna Rathbun, the CEO and founder of Grenadilla Advisory, joins with more.
Apple CEO Tim Cook announced he is stepping down from his leadership role running one of the world's biggest companies. CBS News contributor Patrick McGee joins CBS News with more details.
From labor shortages to environmental impacts, farmers are looking to AI to help revolutionize the agriculture industry. One California startup, Farm-ng, is tapping into the power of AI and robotics to perform a wide range of tasks, including seeding, weeding and harvesting.
Tim Cook, who has been with Apple for nearly three decades and has served as the company's CEO for 15 years, will step down in September and stay on as chairman. The tech giant announced Monday who will replace Cook. Jo Ling Kent reports.
After 15 years, Tim Cook is stepping down as Apple's CEO. Starting in September, Cook will be the executive chairman of Apple's board of directors. New York Times technology correspondent Mike Isaac joins CBS News to discuss.
"This experiment's never been run before on another world," said Amy Williams, an astrobiologist working on the Curiosity mission.
The process of making 30 billion tons of concrete every year produces more carbon pollution than all the world's ships and planes put together. Now, the North Carolina and Denmark-based Biomason is using biotechnology, including naturally-occurring microbes, to create "biocement" that's just as sturdy but emits much less CO2. David Pogue reports.
Over the past century, the cultivation and processing of wheat has led to strains of grain that are less nutritious, less flavorful, and more vulnerable to climate change. The researchers at Breadlab, at Washington State University, are trying to breed varieties of whole grains that are better for farmers, consumers – and taste buds. David Pogue reports.
The renewable energy company Panthalassa says it has a solution to the proliferation of AI data centers, which consume massive amounts of energy and are the cause of increased carbon pollution: sea-based data centers, powered by wave energy.
The renewable energy company Panthalassa says it has a solution to the proliferation of AI data centers, which consume massive amounts of energy and are the cause of increased carbon pollution: sea-based data centers, powered by wave energy. Correspondent David Pogue examines what Panthalassa's alternative to land-based data centers may mean.
Singer and songwriter D4vd is facing several charges linked to the death of 14-year-old Celeste Rivas Hernandez. CBS News' Matt Gutman has the latest.
Disgraced Hollywood mogul Harvey Weinstein will be in a Manhattan courtroom on Tuesday for trial. He is accused of third-degree rape. CBS News' Jericka Duncan reports.
A Canadian tourist was killed, and 13 others were injured, during a shooting at the popular Teotihuacán pyramids in Mexico, officials confirmed. CBS News' Bradley Blackburn reports.
Singer D4vd pleaded not guilty Monday to first-degree murder in the death of 14-year-old Celeste Rivas Hernandez. If convicted he could face the death penalty.
Nearly 500 alleged MS-13 members, including several alleged leaders, are on trial collectively in El Salvador, accused of thousands of murders.
"This experiment's never been run before on another world," said Amy Williams, an astrobiologist working on the Curiosity mission.
The launching appeared to go off without a hitch, but a problem prevented the rocket's upper stage from putting its payload into the correct orbit.
"We are carrying back everything we learned, not only about where we went but ourselves," mission specialist Christina Koch told "CBS Evening News" anchor Tony Dokoupil.
The four Artemis II astronauts struggled to describe the view and overall experience of flying around the moon's far side and witnessing a solar eclipse in deep space.
People on the ground in the Eastern Hemisphere will be able to observe the asteroid with their own eyes, weather permitting, according to NASA.
A look back at the esteemed personalities who've left us this year, who'd touched us with their innovation, creativity and humanity.
Does the evidence show a cover-up, or was Todd Kendhammer wrongfully convicted for the murder of his wife?
Christy Salters-Martin dominated in the boxing ring but faced her toughest challenger at home.
Family seeks answers in death of newlywed who disappeared in 2005 while on Mediterranean honeymoon cruise.
Meet the tattooed beauty charged in the death of Google executive Forrest Hayes.
Kevin Warsh, President Trump's nomination for chair of the Federal Reserve, told senators Tuesday that the central bank would remain "strictly independent." CBS News' Taurean Small reports on the hearing.
During questioning from Democratic Sen. Angela Alsobrooks, Kevin Warsh declined to weigh in on President Trump's attempt to fire Lisa Cook from her position on the Federal Reserve Board of Governors, a case that is now before the Supreme Court. "The Fed should stay in its lane," Warsh said.
President Trump says Tehran has no choice but to negotiate peace with the U.S., even though the regime is insisting it's not planning on attending talks in Pakistan this week. CBS News' Imtiaz Tyab and Olivia Rinaldi have more.
Sen. Ruben Gallego pressed Kevin Warsh again about whether President Trump asked him to commit to lowering interest rates if he was nominated to lead the Federal Reserve. Warsh reiterated that the president never asked him to "commit to any such thing."
Kevin Warsh, President Trump's nominee for Federal Reserve chairman, explained why he believes the potential of the U.S. economy is improving despite low job growth.