Latest
U.S.
Iran War
Hantavirus
World
Politics
Entertainment
HealthWatch
MoneyWatch
Crime
Space
Sports
Brand Studio
The Free Press
Local News
Atlanta
Baltimore
Bay Area
Boston
Chicago
Colorado
Detroit
Los Angeles
Miami
Minnesota
New York
Philadelphia
Pittsburgh
Sacramento
Texas
Live
CBS News 24/7
Baltimore
Bay Area
Boston
Chicago
Colorado
Detroit
Los Angeles
Miami
Minnesota
New York
Philadelphia
Pittsburgh
Sacramento
Texas
48 Hours
60 Minutes
Shows
48 Hours
60 Minutes
CBS Evening News
CBS Mornings
CBS Morning News
CBS Reports
CBS Saturday Morning
The Daily Report
The Dish
Face the Nation
Sunday Morning
The Takeout
Things That Matter
The Uplift
CBS News Investigates
CBS News Confirmed
Podcasts
Newsletters
Download Our App
CBS News Team
Executive Team
Brand Studio
Paramount+
Join Our Talent Community
RSS Feeds
Texas
|
News
Weather
Sports
Video
Texas Monthly
Local
Business
Eye on Politics
Politics
Consumer
Education
Tech
The I-Team
HealthWatch
Entertainment
Texas Weather
Live Radar
Closings/Cancellations
Weather Watcher Network
Gardening 101
Weather on Wheels
Mobile 11
Climate Connection
All Sports
CBS Sports HQ
Cowboys
Rangers
Mavericks
Stars
FC Dallas
Wings
NASCAR
Golf
Tennis
College Sports
High School Sports
Station Info
CBS 11 / TXA 21
Advertise
CBS Television Jobs
Upload Your Photos
Galleries
Download the App
Memorials
Watch CBS News
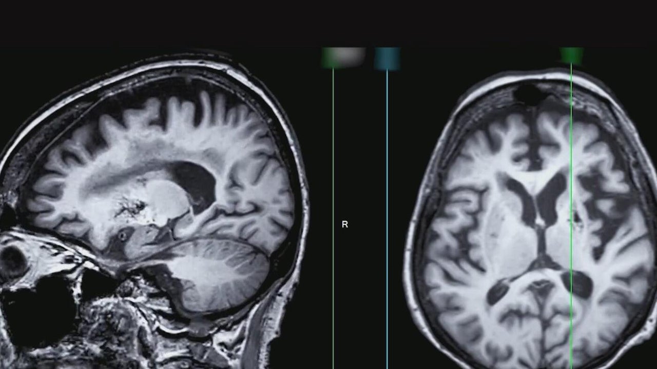
Texas is set to lead the nation in Alzheimer's and Dementia research
Texas is set to lead the nation in Alzheimer's and Dementia research following voters' decision to invest $3 billion in a new research institute.
View CBS News In
CBS News App
Open
Chrome
Safari
Continue