Doctors warn why you should never stifle your sneeze
If you've ever tried to stifle a sneeze by pinching your nose and closing your mouth, doctors are offering a cautionary tale for why you should stop. After a man in the U.K. ruptured the back of his throat during the maneuver, he was left unable to swallow and had difficulty speaking for days.
The patient's doctors detail the incident in the latest issue of BMJ Case Reports.
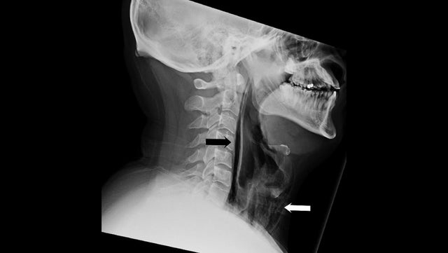
The 34-year-old man came to the emergency room at the University Hospitals of Leicester with painful swelling in his neck and a change in his voice after a forceful sneeze.
He described a "popping sensation" in his neck and said the swelling began "after he tried to halt a sneeze by pinching the nose and holding his mouth closed," the doctors write.
They discovered air bubbles in his neck and chest and determined that the stifled sneeze had torn a hole in the lower part of his throat.
The patient had no history of trauma and said he hadn't eaten anything sharp. Doctors admitted him to the hospital and started treatment with antibiotics. He was also placed on a feeding tube.
After seven days, an examination showed the swelling subsided. The feeding tube was removed and the patient was put on a soft diet with no problems.
At a two-month follow up, the man did not present any further complications.
The authors warn that while this case is very rare, it is possible to harm yourself from trying to stifle a sneeze.
"Halting sneezing via blocking [the] nostrils and mouth is a dangerous maneuver, and should be avoided," they warn.
Dr. Zi Yang Jiang, a head and neck surgeon at University of Texas Health Science Center at Houston who was not involved in the man's treatment, told The Associated Press that injuries from repressed sneezes are "exceedingly rare" but can happen.
"The whole point of sneezing is to get something out of your body, like viruses and bacteria, so if you stop that, those may end up in the wrong part of the body," he said. In most cases, he added, the excess air is simply absorbed by the body.

