Latest
U.S.
Iran War
Mamdani Interview
World
Politics
Entertainment
HealthWatch
MoneyWatch
Crime
Space
Sports
Brand Studio
The Free Press
Local News
Atlanta
Baltimore
Bay Area
Boston
Chicago
Colorado
Detroit
Los Angeles
Miami
Minnesota
New York
Philadelphia
Pittsburgh
Sacramento
Texas
Live
CBS News 24/7
Baltimore
Bay Area
Boston
Chicago
Colorado
Detroit
Los Angeles
Miami
Minnesota
New York
Philadelphia
Pittsburgh
Sacramento
Texas
48 Hours
60 Minutes
Shows
48 Hours
60 Minutes
CBS Evening News
CBS Mornings
CBS Morning News
CBS Reports
CBS Saturday Morning
The Daily Report
The Dish
Face the Nation
Sunday Morning
The Takeout
Things That Matter
The Uplift
CBS News Investigates
CBS News Confirmed
Podcasts
Newsletters
Download Our App
CBS News Team
Executive Team
Brand Studio
Paramount+
Join Our Talent Community
RSS Feeds
Bay Area
|
News
Weather
Sports
Video
Bay Area Top News
SF/Peninsula News
East Bay News
South Bay News
North Bay News
Bay Area Crime
Tech
Health
Politics
LGBTQ
Entertainment
KPIX Special Reports
First Alert Weather
Radars & Maps
All Sports
CBS Sports HQ
San Francisco 49ers
San Francisco Giants
Golden State Warriors
Golden State Valkyries
San Jose Sharks
Cal
Stanford
College Sports
Station Info
KPIX
What's On KPIX
Contests & Promotions
Advertise With Us
Contact Us
Download the App
Galleries
Memorials
Watch CBS News
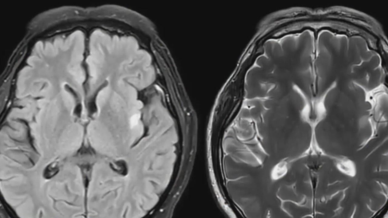
New study on CTE seeks living athletes' data to improve diagnosis, treatment
A groundbreaking new study is underway that could help football players and other athletes who may be more at risk for concussions. Kenny Choi reports.
View CBS News In
CBS News App
Open
Chrome
Safari
Continue