Denver doctors, residents warn of frequent injuries from popular e-scooters
As a popular alternative form of transportation, e-scooters hold a constant presence in Denver, but medical staff like orthopedic surgeon Dr. Alexander Lauder at Denver Health are also regularly seeing riders get hurt.
"It feels like half of the patients that we treat are from the scooter injuries," Lauder said. While Lauder clarified the data isn't exactly that high, it's a significant amount.
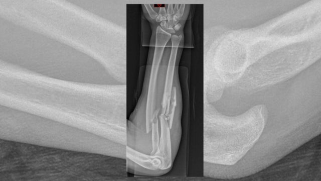
"We started having patients come in with fractures, and some pretty bad fractures too," Lauder said.
Lauder explained the level of injuries has risen to what he believes is a public health concern. "There's studies all over the country, all over the world, talking about these injuries, right? And the problem is that the laws related to them are not really that clear."
To analyze the injuries Dr. Lauder worked on a study with The University of Colorado School of Medicine.
The first year study period saw about 200 patients with e-scooter injuries of which half required surgery. Lauder added that care often costs thousands of dollars for e-scooter related injuries.
"I don't think people realize when you're leaving a bar at night, or see a scooter on the side of the road, and say, 'Hey, you know, just take a cheap, easy way of getting home,' it might not be that cheap, and it might not be that easy," Lauder said.
In 2022 Tim Valdez decided to take an e-scooter home one night and said he ended up hitting a pothole.
"My left hand came off the handlebar, and the whole machine started to oscillate really bad," Valdez said. "My first thought was, wow, that sucked, you know. And I went to get up, and I could not move."
Valdez has been in a wheelchair ever since, and he continues to regularly visit doctors related to his injuries from that accident. Valdez is now suing the scooter manufacturer claiming the product is unsafe and said he wants to see more accountability.
"Riding one of those is what got me to ride one of these, you know," Valdez said, referring to his wheelchair. "I think they need to go away. They're not safe."
Meanwhile, Valdez is hoping for legislative change to put restrictions on e-scooters in the city.
"You know, there's a lot of parties I think that are probably aligned to say, 'Hey, let's, let's make a change, a positive change,'" Valdez said.
Lauder also explained in his study that a majority of the injuries on e-scooters are at night and on weekends. He said that restrictions on use during those hours could cut down on injuries.
As for e-scooter accidents that may have involved a hit and run, Denver police data shows those numbers have just about doubled since 2023, seeing at least 66 incidents in 2024. Since 2020, DPD has reported a total of 174 hit-and-run incidents with 23 cases closed.

