Risky brain surgery gets dancer back on her feet
New York City dancer Alanna Chan went to the doctor last winter to find out what was causing her persistent migraines. She knew she had a family history of neurological issues, and an MRI revealed a rare condition that threatened to end her dancing career and possibly her life.
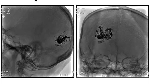
Doctors diagnosed what's called an arteriovenous malformation, or AVM -- an abnormal tangle of blood vessels that disrupts blood flow the brain. One of Chan's grandmothers had died of the same thing.
The American Stroke Association says AVMs occur in about one out of every 200 to 500 people. They are more common in men than in women.
In addition to pain, signs of an AVM may include seizures or difficulty with movement, speech or vision.
Chan was told that if the large AVM in the back of her brain was left untreated it could burst, risking brain damage or even death.
However, surgery to remove it came with risks, too.
"You can lose vision from operating or treating AVMs in this location," said Dr. David Langer, the chief of neurosurgery at Lenox Hill Hospital in New York. "We can't say we haven't seen that before. It happens."
Still, Chan and her doctors determined that surgery was her best shot, and surgeons at Lenox Hill performed the complicated operation over the summer.
First, they flooded the AVM with medical glue to stop the blood flow. Then they delicately removed the tangle from inside her brain.
Four month after leaving the hospital, Chan still suffers occasional headaches and must undergo regular brain scans to make sure she has no bleeding. But she's back to dancing again.
She practices eight hours a day at the prestigious Joffrey Ballet School and has her eyes on a career as a Broadway dancer.
"I'm just really blessed to still be here," she said. "There's nothing stopping me now."

